شهامت و شجاعت براي رفتن به داخل قلب
به گزارش بولتن نیوز سرآغاز مطالعه تهاجمي داخل قلب و عروق يا همان آنژيوگرافي و كاتتريزاسيون قلب٬ ريشه در شهامت و شجاعت يك پزشك جوان آلماني دارد.
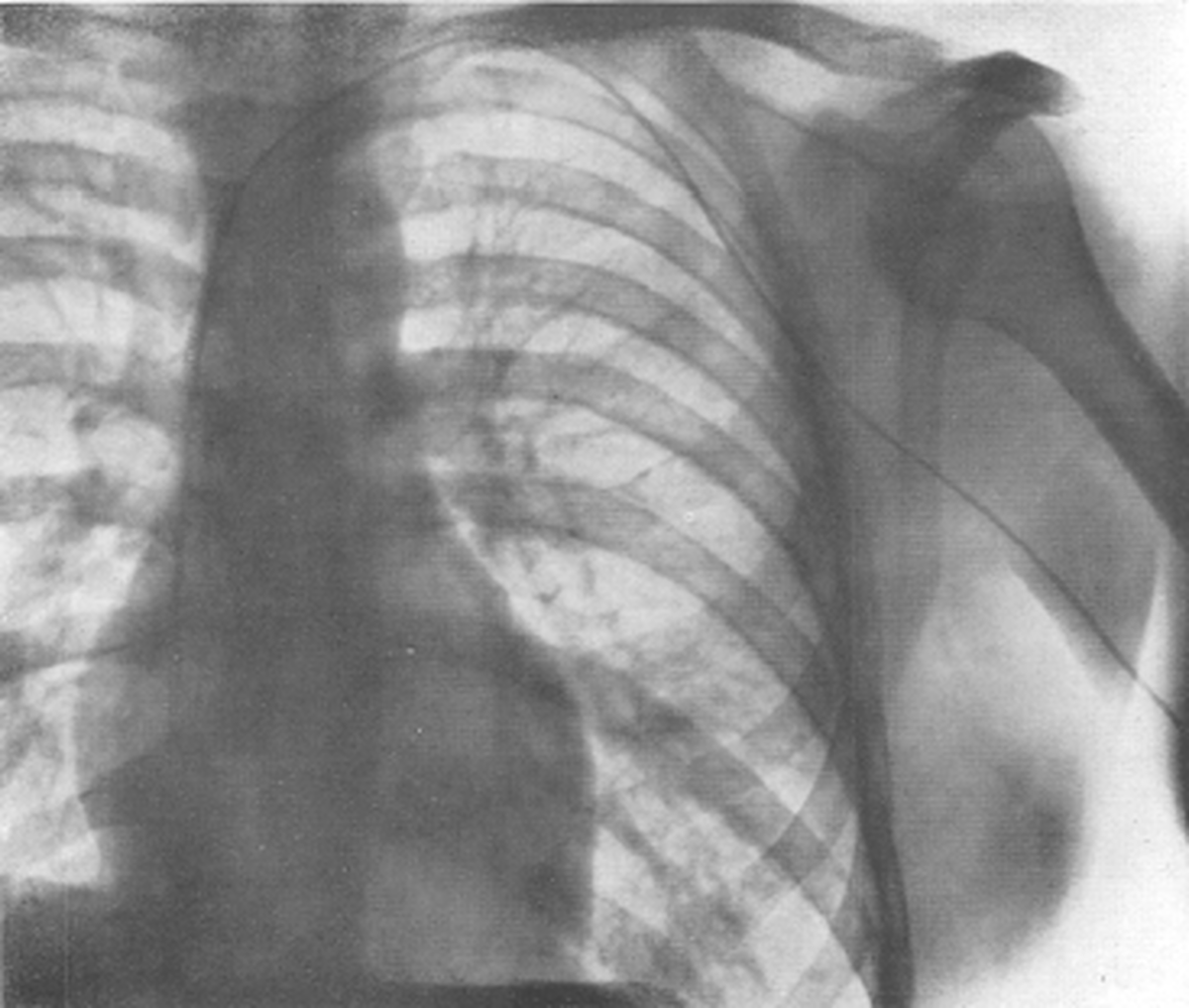
در حدود صد سال قبل٬ يعني در سال 1929 ميلادي٬ دكتر ورنر فورسمان ( Werner Forssmann ) براي اولين بار در جهان٬ كاتتريزاسيون داخل قلبي را بر روي خودش انجام داد !!
ورنر فورسمان در سال 1904 در برلين متولد شد و پس از تحصيل در رشته پزشكي دانشگاه برلين٬ در سال 1929 و زماني كه تنها يك پزشك جوان 25 ساله بود٬ يك كاتتر ابتدايي را از سياهرگ بازوي چپ خود٬ وارد بدن خود كرد و آنرا 65 ساتي متر جلو برد و سپس از بازو و قفسه سينه اش گرافي راديولوژي تهيه كرد و براي اولين بار در جهان نشان داد كه كاتتر داخل قلبش است !!

دكتر ورنر فورسمان
وي از سالها قبل اين نظريه را مطرح كرد كه براي دسترسي و مطالعه مستقيم داخل قلب و همچنين در شرايط اورژانسي و نجات جان بيماران٬ بايد با روشي از طريق يك كاتتر و از طريق عروق محيطي٬ مستقيما وارد قلب شد. اما نظريه وي توسط اساتيدش رد شد زيرا معتقد بودند اين روش بسيار خطرناك است و قابل اجرا نيست.
اما فورسمان با شهامت و شجاعت و با به خطر انداختن جان خود٬ اولين كاتتريزاسيون داخل قلبي را بر روي خودش انجام داد و در نوامبر سال 1929 مقاله آنرا به چاپ رساند. كار بينظير فورسمان كه انقلابي بزرگ در دانش پزشكي بود٬ پايه و اساس انجام آنژيوگرافي و كاتتريزاسيون داخل قلبي در سالهاي بعد بود.
در سال 1956 ميلادي٬ دكتر ورنر فورسمان به خاطر توسعه روشی که امکان کاتتریزاسیون داخل قلبی را فراهم كرد، موفق شد جايزه نوبل پزشكي را دريافت كند. وي در سال 1978 و در سن 74 سالگي درگذشت.
امروز و پس از گذشت حدود يك قرن از شاهكار دكتر فورسمان٬ انجام آنژيوگرافي و كاتتريزاسيون قلب و عروق٬ يكي از اركان اصلي تشخيص و درمان بيماران قلبي و نجات دهنده جان بيماران قلبي در سراسر جهان است.
تهيه و تنظيم : دكتر حسين شهزادي - فوق تخصص قلب كودكان - مركز قلب شهيد رجايي
شما می توانید مطالب و تصاویر خود را به آدرس زیر ارسال فرمایید.
bultannews@gmail.com


